Mina sidor Boka tid boka-nu-pil

Tandblekning

Drömmer du om vitare tänder?

Tandblekning är en enkel och populär metod för att få ett fräschare leende. Oavsett om missfärgningarna beror på kaffe, te, tobak eller ålder, kan blekning hjälpa dig att återfå tändernas naturliga lyster – tryggt och professionellt.

Hos Smile får du tillgång till skonsam tandblekning med kliniskt framtagna metoder, anpassade efter just dina tänder.

Höstens tandblekningskampanj är härjust nu 30% rabatt

Just nu 2758 kr (ordinarie pris 3940 kr). Erbjudandet gäller 27/10 – 31/12 på följande kliniker:

BodenBorås, Göteborg: AvenynDomkyrkan, Ett4, Falköping, Halmstad, Helsingborg, Höga Kusten, Jönköping A6Jönköping CityKarlstad, Kiruna, KramforsKristinehamn, KumlaLandskrona, LinköpingLysekilLuleå, Malmö: City, SlottsstadenMariestadMolkomMölndalNorrköpingPiteåSandviken, Skövde, Stockholm: Bromma, HagastadenGloben, Hässelby Strand, Kungsgatan, Solna, Södermalm, Tyresö, TäbyVällingbyÖstermalmSundsvall, Söderhamn, TorslandaTranås, TrelleborgUddevalla, Varberg, VänersborgVästeråsÅre och Örebro: Stortorget, Våghustorget.

Observera att du behöver ha gjort en undersökning hos tandläkare inom de senaste 12 månaderna. Det säkerställer att dina tänder är friska och redo för blekning.


Vad är tandblekning?

Tandblekning är en kosmetisk behandling som gör dina tänder vitare genom att ta bort missfärgningar. Metoden används för att reducera fläckar orsakade av kaffe, te, rödvin, tobak och åldrande.

Vi på Smile använder en skonsam men effektiv metod med blekgel och individuellt anpassade skenor – framtagna på klinik.

Man använder kemiska eller ljusbaserade produkter för att ta bort missfärgningar och förbättra tändernas utseende t ex med väteperoxid eller karbamidperoxid. Dessa kemikalier bryts ned till syre och reagerar med färgämnen i tänderna för att minska eller ta bort missfärgningar. Koncentrationen varierar beroende på behandlingen.


Vad kostar tandblekning?

En stor fördel med tandblekning hos Smile är att man kan återanvända skenorna vilket sänker din kostnad avsevärt över tid. Pris för tandblekning hos Smile Tandvård: 3940 kr.

Just nu 30 % rabatt på ett stort antal kliniker.


Varför välja tandblekning hos Smile?

✅ Professionell bedömning av tandläkare eller tandhygienist
✅ Individuellt anpassade blekskenor som du kan återanvända
✅ Säker och dokumenterad metod
✅ Behandling i hemmet – på dina villkor

Besväras du av missfärgningar och önskar att få vitare tänder? Leendet och tänderna är något av det första som vi lägger märke till, så det är inte konstigt att tandblekning är en av våra mest populära behandlingar. Vi ser till att du kan bleka tänderna med en modern, trygg och seriös metod – som inte skadar dina tänder.

Tack vare en professionellt utförd tandblekning och en korrekt efterbehandling blir resultatet säkert och hållbart och din känsla av att ha missfärgade eller gula tänder blir ett minne blott. Vi använder oss av individuellt anpassade blekskenor där blekmedel och två besök ingår.


Hur går tandblekningen till?

1. Undersökning

Du behöver ha gjort en undersökning hos tandläkare inom de senaste 12 månaderna. Det säkerställer att dina tänder är friska och redo för blekning.

2. Framtagning av blekskenor

Vi tar avtryck av dina tänder och tillverkar individuellt anpassade skenor på kliniken.

3. Tandblekning hemma

Du bleker själv dina tänder hemma, med vägledning från oss. Vi justerar styrkan på blekmedlet efter dina önskemål – natt- eller dagsblekning.


Hur får man bäst resultat?

För bästa effekt av tandblekningen:

  • Följ våra instruktioner noggrant
  • Undvik färgstarka livsmedel (kaffe, vin, curry) 48h efter blekning
  • Borsta med fluortandkräm och använd tandtråd
  • Undvik rökning och tobak
  • Bleker du om efter ett tag? Skenorna går att återanvända!

Vem kan bleka tänderna?

Du kan genomföra tandblekning om du:

  • Är över 18 år
  • Har friska tänder och tandkött
  • Inte är gravid (rekommenderas att avstå)
  • Har gjort en tandundersökning senaste året

Hur länge håller en tandblekning?

Tandblekning är inte permanent men effekten håller i 1 till 3 år, beroende på dina vanor och munhygien. Undvik färgämnen, håll god munhygien och gå på regelbundna kontroller för att förlänga resultatet.

Tänk på att:

  1. Konsultera en tandläkare för professionell vägledning och råd om förväntade resultat.
  2. Noggrant följa instruktionerna för blekningsproceduren för att uppnå bäst resultat och minimera risken för biverkningar.
  3. Vara tålmodig, tandblekning tar tid, och resultaten kan vara gradvisa. Undvik att överbleka tänderna, vilket kan skada emaljen.
  4. Undvika missfärgningsorsaker som kaffe, te och tobak.
  5. Bibehålla en god munhygien med fluortandkräm och tandtråd och undvik starkt färgade livsmedel och drycker.
  6. Planera regelbundna tandundersökningar och rengöringar för att bevara resultatet.

Individuellt anpassade skenor

Dessa skenor är skräddarsydda för just dina tänder, vilket ger en perfekt passform och maximal komfort under behandlingen. Genom att använda skenorna jämnt fördelat över dina tänder kan man minska missfärgningar och uppnå önskad ljushet gradvis. Den anpassade skenan minimerar risken för irritation i tandköttet och gör det möjligt att enkelt applicera den blekande gelén på ytan av tänderna. Man kan återanvända skenorna om du vill bleka tänderna igen vid ett senare tillfälle.


Tandblekning hemma

Du utför själv tandblekningen hemma. Genom att tillverka skenan på en Smile-klinik och att bleka tänderna hemma så får du en större flexibilitet och till en lägre kostnad. Läs mer här om varför du bör bleka tänderna hemma via en tandvårdsklinik.


Att tänka på innan och efter en tandblekning

Innan:

  1. Konsultera en tandläkare för att bedöma lämpligheten.
  2. Få en professionell tandrengöring och undersökning.
  3. Ha realistiska förväntningar på resultatet.

Efter:

  1. Undvik färgade ämnen de första 48 timmarna.
  2. Undvik extremt varma eller kalla livsmedel och drycker.
  3. Fortsätt med god munhygien.
  4. Boka regelbundna tandläkarbesök för övervakning och rådgivning.

Kom ihåg att alla har unika behov, och att rådfråga en tandläkare är viktigt för personlig vägledning.


Boka din tid här

Tillbaka till huvudsida för estetisk tandvård

Tillbaka till Tandvårdsskolan

Hur fungerar det?

  • 1
    Vid första besöket görs ett avtryck av dina tänder. Med detta avtryck gör man sedan dina individuellt anpassade tandskenor. Man bestämmer också, med hjälp av en färgskala, vilken färg dina tänder har och vilket resultat av tandblekningen som kan förväntas.
  • 2
    Vid återbesöket provas skenorna ut så att de sitter bra, du får också en instruktion om hur du ska bleka tänderna hemma, använda blekgelén och hur du sköter dina skenor. Skenorna är gjorda i en mjuk plast som sitter tätt mot tänderna. Du kan välja om du bara vill bleka över- eller underkäke, eller båda två.
  • 3
    Du väljer själv om du vill bleka på natten eller på dagen. Väljer du på natten så använder du en något lägre koncentration av blekningsgelén. Om du väljer att bleka på dagen kan en något högre koncentration av tandblekningsgelen användas och resultatet blir på sikt det samma som nattblekning trots att du bara haft skenorna med blekgelen på i 1-2 timmar på dagen. Hur många dagar du behöver bleka beror på vilket resultat du vill uppnå.
Lars Armbäck - odontologiskt ansvarig tandläkare - berättar om tandblekning hos Smile.

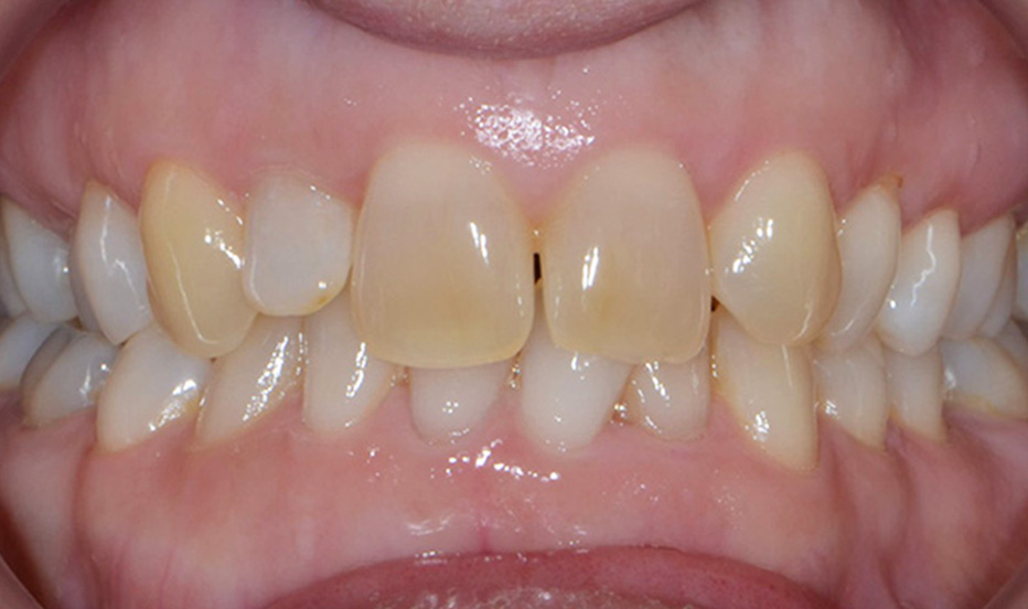
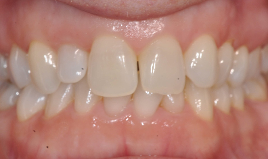
Före- och efter tandblekning - exempel - dra markören för att se resultatet

Frågor och svar om tandblekning

Smile Tandvård